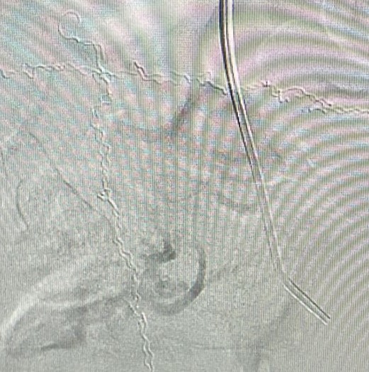
A equipe do Hospital Vaz Monteiro inovou novamente ao realizar, pela primeira vez na região, uma embolização de miomas uterinos, procedimento minimamente invasivo, com punção arterial e cateterização seletiva dos ramos uterinos tanto do lado direito quanto do lado esquerdo, visando administração de embosferas.
De acordo com Dr. Dirceu Dias Barbosa Sobrinho, coordenador da Divisão de Hemodinâmica do hospital, as embosferas são “estruturas desenvolvidas para interromper o fluxo arterial aos miomas, ocasionando sua regressão e desaparecimento, já que os tumores deixam de receber fluxo sanguíneo”.
Após o procedimento, é feito simplesmente um curativo compressivo na virilha por onde se acessou a artéria femural usada para se chegar aos vasos que foram embolizados (obstruídos).

A embolização foi realizada em uma paciente de 46 anos que buscou tratamento devido a sintomas de dores abdominais do tipo cólicas intensas, frequentes e com sangramentos aumentados, além de dores e sensação de pressão na bexiga.
Após exames realizados pelos profissionais da Ginecologia, foram constados miomas uterinos como causa basal. Miomas são tumores benignos da parede uterina que dependendo de fatores anatômicos e hormonais podem ocasionar os sintomas apresentadas pela paciente.

Havia duas opções no caso: a Histerectomia (retirada total do útero por via abdominal ou pélvica) ou a Embolização. Como não desejava se submeter à histerectomia, a paciente foi encaminhada ao serviço de Hemodinâmica do Vaz Monteiro para avaliação da possibilidade de embolização do mioma. “Felizmente, a ressonância magnética da pelve indicou que se tratava de miomas do tipo subseroso, que respondem muito bem à técnica de embolização”, explica Dr. Dirceu.

Após a realização do procedimento, a paciente foi encaminhada para o quarto, recebendo alta domiciliar cerca de 24 horas após a embolização apenas com analgesia oral e orientação para retornar as atividades habituais após 30 dias do procedimento.
A embolização foi realizada pelo Dr. Dirceu Dias Barbosa Sobrinho (hemodinamicista), Dr. Carlos Eduardo Couto (hemodinamicista), Dr. Leonardo Alkimin Bizzotto (anestesista), assistidos pela enfermeira Suellen Rodrigues da Silva e auxiliares Eidimar Aparecida da Silva e Alexandre Gomes dos Santos.

O Hospital Vaz Monteiro é o único da região a oferecer esse tipo de tratamento pouco invasivo e que, bem indicado, consegue resolver essa patologia de maneira extremamente satisfatória.
















